Manguaguan na Palabran Si Yuus – God's Precious Words
Chamorro  ·  English

Lumuhû (April) 30, 2005

Ya jaagang ya mandaña y dose disipuluña ya janae ninasiña gui jilo y manganite todo, yan para ufanmanamte nu y
chetnot sija. Ya jatago na ujapredica y raenon Yuus, yan unafanjomlo y manmalango. Ya ilegña nu sija:
Chamiyo fanmañuñule ni jafa para y chalan, ni baston, ni botsa, ni pan, ni salape; ni infangaemagago dos. Ya
cuatquiera na guma nae manjalom jamyo, fañaga güije asta que manjanao jamyo. Ya todo ayo sija y
ti rumesibe jamyo, anae manjanao jamyo güije na siuda, sacude y petbos gui adengmiyo para testimonio
contra sija.

Ya manjanao sija, ya manmalofan sija gui sengsong, mapredidica y ibangelio, yan mannanajomlo gui todo y
lugat.” Lucas 9:1-6 (Josephine Chargualaf Varley, Narrator, San Lucas 9).

1. An Impressive View of a Transmission Electron Micrograph of the Often Deadly Ebola Virus. Photo Credit: Cynthia Goldsmith, "Transmission Electron Micrograph of the Ebola Virus. Hemorrhagic Fever, RNA Virus.", PHIL ID# 1832, Public Health Image Library (PHIL, http://phil.cdc.gov), Centers for Disease Control and Prevention (CDC, http://www.cdc.gov), United States Department of Health and Human Services (http://www.dhhs.gov), Government of the United States of America (USA). Additional information from CDC Special Pathogens Branch: "Filoviruses" <http://www.cdc.gov/ncidod/dvrd/spb/mnpages/dispages/filoviruses.htm> and "Ebola Hemorrhagic Fever" <http://www.cdc.gov/ncidod/dvrd/spb/mnpages/dispages/ebola.htm>. The other deadly Filoviridae family member, Marburg Virus, is covered in ChamorroBible.org: Manguaguan na Palabran Si Yuus, Lumuhû (April) 29, 2005 <http://ChamorroBible.org/gpw/gpw-20050429.htm>.
1. An Impressive View of a Transmission Electron Micrograph of the Often Deadly Ebola Virus
 
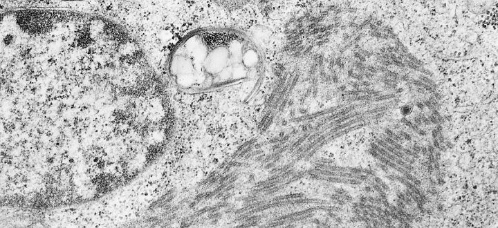
2. Intracytoplasmic Inclusion of Ebola Virus Nucleocapsids. Photo Credit: Dr. Fred Murphy, 1977, "This electron micrograph shows a thin section containing the Ebola virus, the causative agent for African Hemorrhagic Fever.", PHIL ID# 2738, Public Health Image Library (PHIL, http://phil.cdc.gov), Centers for Disease Control and Prevention (CDC, http://www.cdc.gov), United States Department of Health and Human Services (http://www.dhhs.gov), Government of the United States of America (USA). Additional information from CDC Special Pathogens Branch: "Filoviruses" <http://www.cdc.gov/ncidod/dvrd/spb/mnpages/dispages/filoviruses.htm> and "Ebola Hemorrhagic Fever" <http://www.cdc.gov/ncidod/dvrd/spb/mnpages/dispages/ebola.htm>. The other deadly Filoviridae family member, Marburg Virus, is covered in ChamorroBible.org: Manguaguan na Palabran Si Yuus, Lumuhû (April) 29, 2005 <http://ChamorroBible.org/gpw/gpw-20050429.htm>.
2. Intracytoplasmic Inclusion of Ebola Virus Nucleocapsids
 

Ebola Virus, a Filovirus and Member of the Filoviridae, a Family of Often Deadly RNA Viruses

CDC Special Pathogens Branch:
Filoviruses » http://www.cdc.gov/ncidod/dvrd/spb/mnpages/dispages/filoviruses.htm
Ebola Hemorrhagic Fever » http://www.cdc.gov/ncidod/dvrd/spb/mnpages/dispages/ebola.htm

ChamorroBible.org, Manguaguan na Palabran Si Yuus, Lumuhû (April) 2005:
Lumuhû (April) 29, 2005: Marburg Virus, a filovirus and member of the Filoviridae » http://ChamorroBible.org/gpw/gpw-20050429.htm

 
3. Scanning Electron Micrograph (SEM) Revealing a Number of Ebola Virions. Photo Credit: Cynthia Goldsmith, "This scanning electron micrograph (SEM) depicts a number of Ebola virions", PHIL ID# 1836, Public Health Image Library (PHIL, http://phil.cdc.gov), Centers for Disease Control and Prevention (CDC, http://www.cdc.gov), United States Department of Health and Human Services (http://www.dhhs.gov), Government of the United States of America (USA). Additional information from CDC Special Pathogens Branch: "Filoviruses" <http://www.cdc.gov/ncidod/dvrd/spb/mnpages/dispages/filoviruses.htm> and "Ebola Hemorrhagic Fever" <http://www.cdc.gov/ncidod/dvrd/spb/mnpages/dispages/ebola.htm>.  The other deadly Filoviridae family member, Marburg Virus, is covered in ChamorroBible.org: Manguaguan na Palabran Si Yuus, Lumuhû (April) 29, 2005 <http://ChamorroBible.org/gpw/gpw-20050429.htm>.
3. Scanning Electron Micrograph (SEM) Revealing a Number of Ebola Virions
 
4. Transmission Electron Micrograph of Ebola Virus, the RNA Virus Which Causes Ebola Hemorrhagic Fever. Photo Credit: Frederick A. Murphy, 1976, "Transmission electron micrograph of Ebola virus", PHIL ID# 1181, Public Health Image Library (PHIL, http://phil.cdc.gov), Centers for Disease Control and Prevention (CDC, http://www.cdc.gov), United States Department of Health and Human Services (http://www.dhhs.gov), Government of the United States of America (USA). Additional information from CDC Special Pathogens Branch: "Filoviruses" <http://www.cdc.gov/ncidod/dvrd/spb/mnpages/dispages/filoviruses.htm> and "Ebola Hemorrhagic Fever" <http://www.cdc.gov/ncidod/dvrd/spb/mnpages/dispages/ebola.htm>. The other deadly Filoviridae family member, Marburg Virus, is covered in ChamorroBible.org: Manguaguan na Palabran Si Yuus, Lumuhû (April) 29, 2005 <http://ChamorroBible.org/gpw/gpw-20050429.htm>.
4. Transmission Electron Micrograph of Ebola Virus, the RNA Virus Which Causes Ebola Hemorrhagic Fever
 

“Ya jalilicue si Jesus todo y siuda sija yan y sengsong, mamananagüe gui guima Yuusñija,
ya jasesetmon y ebangelion y raeno, yan
janafanmamagong todo y chetnot yan todo y pinite gui taotao sija.” Mateo 9:35

Photo Credits:

1. First Row (Full size, Original in TIFF/TIF and JPG/JPEG formats): Cynthia Goldsmith, "Transmission Electron Micrograph of the Ebola Virus. Hemorrhagic Fever, RNA Virus.", PHIL ID# 1832, Public Health Image Library (PHIL, http://phil.cdc.gov), Centers for Disease Control and Prevention (CDC, http://www.cdc.gov), United States Department of Health and Human Services (http://www.dhhs.gov), Government of the United States of America (USA).
2. Second Row (Full size, Original in TIFF/TIF and JPG/JPEG formats): Dr. Fred Murphy, 1977, "This electron micrograph shows a thin section containing the Ebola virus, the causative agent for African Hemorrhagic Fever.", PHIL ID# 2738, Public Health Image Library (PHIL, http://phil.cdc.gov), Centers for Disease Control and Prevention (CDC, http://www.cdc.gov), United States Department of Health and Human Services (http://www.dhhs.gov), Government of the United States of America (USA).
3. Third Row (Full size, Original in TIFF/TIF and JPG/JPEG formatt): Cynthia Goldsmith, "This scanning electron micrograph (SEM) depicts a number of Ebola virions", PHIL ID# 1836, Public Health Image Library (PHIL, http://phil.cdc.gov), Centers for Disease Control and Prevention (CDC, http://www.cdc.gov), United States Department of Health and Human Services (http://www.dhhs.gov), Government of the United States of America (USA).
4. Fourth Row (Full size, Original in TIFF/TIF and JPG/JPEG formats): Frederick A. Murphy, 1976, "Transmission electron micrograph of Ebola virus", PHIL ID# 1181, Public Health Image Library (PHIL, http://phil.cdc.gov), Centers for Disease Control and Prevention (CDC, http://www.cdc.gov), United States Department of Health and Human Services (http://www.dhhs.gov), Government of the United States of America (USA).

The Manguaguan na Palabran Si Yuus Archive
The Great Earthquake and Catastrophic Tsunami of 2004
The Spectacular Clouds of the Transonic Flight Regime
The Chamorro Bible In Print


ChamorroBible.org  ·  Francis Marion Price (1850-1937)  ·  The 1908 Chamorro Bible in Audio  ·  Chamorro Language Resources  ·  Acknowledgements  ·  ISLES, Spring 2003, Special Issue: The Resurrection of the (1908) Chamorro Bible  ·  Chamorro Bible Project  ·  Announcements  ·  Download